A better life starts with a beautiful smile.
Our Marlton dental office is a multi-specialty dental practice. We have a Pediatric dentist (dentist for children), and Periodontist (gum doctor) and a Prosthodontist (cosmetic restorative specialist). We utilize the most current dental technologies and techniques to help you achieve a smile that you can be proud of. At our practice, you will receive individualized treatment based on a careful diagnosis of your dental health. Meet Dr. LaDerrick Bullock

South Jersey’s
Advanced Dental
Center

Why Marlton Chooses Us
Advanced Dentistry.
Compassionate Care.
There are dozens of dentists in South Jersey. Here’s why thousands of patients trust us with their smiles.
Board-Certified Prosthodontist On-Site
Dr. Bullock holds one of dentistry’s most advanced specialties — prosthodontics — allowing us to handle complex cases most practices refer out. No extra trips, no coordination headaches.
Multi-Specialty Under One Roof
General dentistry, pediatric care, periodontics, and prosthodontics — all in one convenient Marlton, NJ location. Your family’s complete dental needs, coordinated seamlessly.
CEREC Same-Day Crowns & 3D Imaging
We use CEREC technology to design, mill, and place ceramic crowns in a single visit. Combined with CBCT 3D imaging for precision planning — especially for implants.
Computer-Guided Implant Surgery
Our guided dental implant protocol uses 3D planning software for safer, more predictable implant placement with minimal healing time and maximum accuracy.
Emergency Same-Day Appointments
Dental emergencies don’t wait — neither do we. Call us for same-day care for toothaches, cracked teeth, lost crowns, and dental trauma in Marlton and surrounding South Jersey.
Flexible Financing & Insurance
We accept most major dental insurance and offer CareCredit and LendingClub financing. Our team will help you maximize your benefits and make treatment affordable.
Comprehensive Dental Care
Every Dental Service
Under One Roof
From your child’s first cleaning to full-mouth implant reconstructions — our Marlton, NJ dental team covers every stage of your dental journey.
Dental Implants
Dental implants are a revolutionary solution for missing teeth that offer a permanent and natural-looking...
Expore Dental Implants →Single Tooth Dental Implant
If you are missing a single tooth, a single tooth dental implant is one of...
Expore Single Tooth Dental Implant →Multiple Tooth Implants
Bone grafting is a surgical procedure that rebuilds or strengthens the jawbone where bone has...
Expore Multiple Tooth Implants →All-on-4 Dental Implants
All-on-4 dental implants offer a revolutionary solution for missing teeth, using just four strategically placed...
Expore All-on-4 Dental Implants →Full Arch Dental Implants
Full arch dental implants are a treatment used to replace an entire row of missing...
Expore Full Arch Dental Implants →Implant Supported Dentures
If you are missing most or all of your teeth, implant supported dentures can provide...
Expore Implant Supported Dentures →Same Day Dental Implants
Bone grafting is a surgical procedure that rebuilds or strengthens the jawbone where bone has...
Expore Same Day Dental Implants →Immediate Load Dental Implants
Bone grafting is a surgical procedure that rebuilds or strengthens the jawbone where bone has...
Expore Immediate Load Dental Implants →Implant vs Bridge
Bone grafting is a surgical procedure that rebuilds or strengthens the jawbone where bone has...
Expore Implant vs Bridge →Bone Grafting for Dental Implants
Bone grafting is a surgical procedure that rebuilds or strengthens the jawbone where bone has...
Expore Bone Grafting for Dental Implants →Implant vs Dentures
Bone grafting is a surgical procedure that rebuilds or strengthens the jawbone where bone has...
Expore Implant vs Dentures →Cosmetic Dentistry
Cosmetic dentistry is about more than just improving the appearance of teeth, it's about boosting...
Expore Cosmetic Dentistry →Smile Makeover
A smile makeover is a customized treatment plan that can help you achieve a beautiful,...
Expore Smile Makeover →Teeth Whitening
A bright and dazzling smile is desired by everyone, but stained or discolored teeth can...
Expore Teeth Whitening →Cosmetic Dental Bonding
Cosmetic dental bonding is a quick and affordable non-invasive procedure that uses tooth-colored resin to...
Expore Cosmetic Dental Bonding →Porcelain Crowns
As teeth age, they can deteriorate due to decay, fillings, trauma, or normal chewing habits....
Expore Porcelain Crowns →Porcelain Veneers
Porcelain veneers offer a solution for achieving a perfect, Hollywood-worthy smile. These thin, custom-made shells...
Expore Porcelain Veneers →Gum Lift / Gum Contoring
Gum contouring, also known as gum reshaping or gum lifting, is a cosmetic dental procedure...
Expore Gum Lift / Gum Contoring →Teeth Whitening Home Kits
Achieving a bright, sparkling smile can boost confidence, but professional teeth whitening treatments at the...
Expore Teeth Whitening Home Kits →Tooth Colored Fillings
White dental fillings, also known as composite fillings, are a popular choice as an alternative...
Expore Tooth Colored Fillings →Dental Crowns & Bridges
Dental crowns and bridges are cosmetic dental procedures that offer a permanent solution for missing...
Expore Dental Crowns & Bridges →Inlays & Onlays
Dental inlays and onlays are lesser-known alternatives to dental crowns and fillings for addressing cavities...
Expore Inlays & Onlays →Full Mouth Restoration
A full mouth restoration is a comprehensive dental treatment that addresses multiple dental issues to...
Expore Full Mouth Restoration →Complete and Partial Dentures
Dentures and permanent dentures are effective solutions for restoring missing teeth, improving confidence and quality...
Expore Complete and Partial Dentures →Root Canal Therapy
Root canal treatment is a dental procedure that is designed to save a damaged or...
Expore Root Canal Therapy →Tooth Extraction
Tooth extraction is a common dental procedure for various reasons such as decay, infection, trauma...
Expore Tooth Extraction →New Patient Exam
Our dental office in Marlton welcomes new patients and offers comprehensive exams and consultations to...
Expore New Patient Exam →Dental Cleaning
Regular dental cleanings are crucial for maintaining a healthy smile. PracticeName in CityName emphasizes the...
Expore Dental Cleaning →Dental Hygiene
Good dental hygiene is the foundation of oral health, and neglecting it can lead to...
Expore Dental Hygiene →Oral Cancer Screening
Early detection is crucial in improving the chances of survival for oral cancer. Our dental...
Expore Oral Cancer Screening →Dental Sealants
Dental sealants are thin coatings that protect the chewing surfaces of teeth from bacteria and...
Expore Dental Sealants →Preventative Dentistry for Children
Preventative dentistry for kids is crucial for maintaining healthy, happy smiles that last a lifetime....
Expore Preventative Dentistry for Children →Pediatric Dentistry
At South Jersey Center For Advanced Dentistry, we prioritize the oral health of children and...
Expore Pediatric Dentistry →Emergency Dentistry
During a dental emergency, seeking immediate care is crucial to alleviate discomfort and prevent further...
Expore Emergency Dentistry →Computer Guided Dental Implants
Our dental office offers Computer Guided Dental Implants, utilizing advanced technology for precise implant placement...
Expore Computer Guided Dental Implants →Gum Disease Treatment
Gum disease, or periodontal disease, is a common dental condition caused by plaque and bacteria...
Expore Gum Disease Treatment →TMJ Treatment
TMJ (temporomandibular joint) disorder is a condition that can cause various symptoms and impact daily...
Expore TMJ Treatment →Laser Dentistry
Laser dentistry offers a modern approach to dental procedures with greater precision, less discomfort, and...
Expore Laser Dentistry →CEREC 3D
CEREC eliminates the need for multiple appointments, messy impressions, and uncomfortable temporary crowns at our...
Expore CEREC 3D →Sleep Apnea Treatment
Sleep apnea is a common but often undiagnosed sleep disorder characterized by interrupted breathing during...
Expore Sleep Apnea Treatment →3D Imaging
Our Marlton dental office uses Cone Beam CT (CBCT) 3D imaging, an advanced technology that...
Expore 3D Imaging →Teeth Grinding Mouth Guard
Teeth grinding or clenching can be painful and damaging to teeth and oral health. A...
Expore Teeth Grinding Mouth Guard →
About Our Practice
South Jersey’s Premier
Multi-Specialty Dental Team
The South Jersey Center for Advanced Dentistry in Marlton, NJ is one of the region’s most comprehensive dental practices. Led by Dr. LaDerrick Bullock, DMD — a board-certified prosthodontist — our team combines specialty expertise with genuine patient care.
We bring together general dentists, a prosthodontist, periodontist, and pediatric dentist under one roof, meaning your entire family can receive expert care without referrals. From your child’s first visit to complex full-mouth implant reconstructions, we handle it all in our state-of-the-art Marlton facility.
Dr. LaDerrick Bullock
Prosthodontist
Dr. Ryan Perro
General & Cosmetic Dentistry
Dr. Shakeel Ahmed
General Dentistry
Dr. Madison Trimarco
General Dentistry
Dental Solutions
Cosmetic Veneers
Learn More about veneers
Dental Implants
Learn More about Dental Implants
Mercury Free Dentistry
Learn more about Mercury Free Dentistry
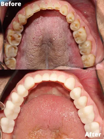
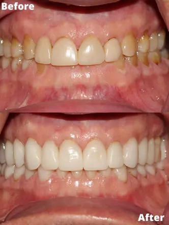
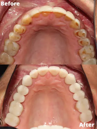
Results







Patient Testimonials
What Our Marlton Patients Say
“I had a great experience my first time going to see Dr. Bullock. The staff was very friendly and welcoming. Dr. Bullock was very friendly, welcoming and professional. I would definitely recommend Dr. Bullock to anyone who has dental needs.”
“Dr. Bullock, Dr. Perro, & all of their assistants are professional, thoughtful, caring & thorough. The work they’ve done on my smile has made me feel like a new person. They are perfectionists & I’m incredibly happy with their work. 1000% recommend!”
“I’ve been going to Dr. Bullock for over 10 years. The whole office, hands down, is the best. He does exceptional work and the staff is always so pleasant.”
“This office is so friendly and accommodating. I have a high level of anxiety when it comes to dental procedures, and they calm my nerves. Dr. Bullock is really an exceptional dentist.”
Ready for Your Best Smile?
Join thousands of South Jersey patients who trust the Center for Advanced Dentistry in Marlton, NJ. New patients welcome — we accept most dental insurance.













